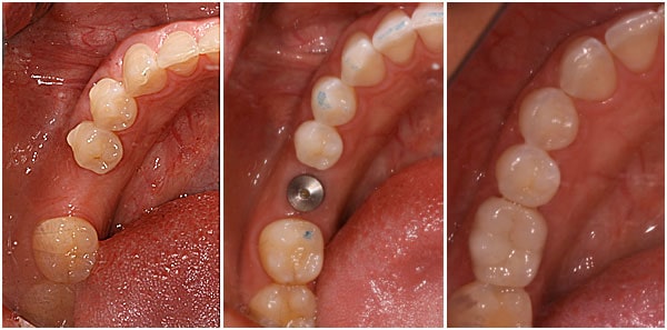
Elvesztett fogaink ma már implantáció által is pótolhatók, ami a foghiányok pótlásának legkorszerűbb módszere.

Az implantátum egy titánötvözetből készült műgyökér beültetése, mellyel a páciens visszanyeri „saját” fogát. Az eljárás során a hiányzó fog vagy fogak helyére változatos formájú és méretű implantátum csavarok kerülnek behelyezésre.

implantatum

A gyógyulás, csontosodás után ezen implantátumokba illesztett felépítményekre készülhet rögzített szóló korona, híd vagy kivehető pótlások elhorgonyzására is alkalmas.

Koronák és hidak estében nagy előnye, hogy a szomszédos fogak megkímélésével, a lecsiszolásuk nélkül állítható helyre a foghiány, kiváló esztétikai, funkcionális eredménnyel és tartóssággal.

implantatum-2

0 válaszok

Hagyjon egy választ

Want to join the discussion?
Feel free to contribute!

Vélemény, hozzászólás?

Az e-mail-címet nem tesszük közzé.