A fogmosás és a fogselyem használata a legjobb módja a szuvasodás megelőzésének, de nem mindig könnyű a fogak minden zugát megtisztítani – különösen a rágásra használt hátsó fogakat (az úgynevezett molárisokat).
Az őrlőfogak érdesek, egyenetlenek és a maradék ételek és a szuvasodást okozó baktériumok kedvenc búvóhelyei.
Mégis, van egy megoldás, amely segít tisztán tartani ezeket a fogakat: a barázdazárás.
Mi is a barázdazárás?
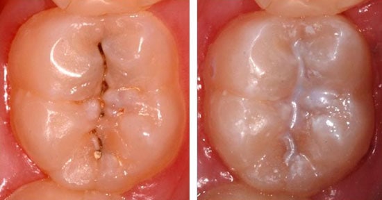
A barázdazárás a rágófogak mély barázdáinak védelmében végzett, egyszerű fogászati eljárás. A barázdazárással egy vékony műanyag gyanta védőbevonat (sealant) kerül a rágófogak rágófelületére (barázdákba), amely kisimítja a hátsó fogak rágófelületét, és ellenállóvá teszi azokat a szuvasodással szemben.

A sealant felhordása után az ételmaradékok nem ülepszenek meg a barázdákban, és megakadályozza, hogy a baktériumok és savak megtelepedjenek a fogakon.
Hasonlatként gondoljunk arra, ahogyan egy esőkabát is tisztán és szárazon tart a viharban.
Milyen hatákonysággal előzi meg a fogszuvasodást a barázdazárás?
A barázdazárás bizonyítottan közel 80%-kal csökkenti a fogszuvasodás kockázatát a moláris fogak esetében (24 hónapos kutatással figyeltek meg 6-11 éves gyerekeknél).
A sealant (barázdazárás) nem helyettesíti a fogmosást és a fogselyem használatát, de megakadályozhatják a szuvasodás kialakulását, sőt, a szuvasodás korai stádiumában még azt is megakadályozhatják, hogy a szuvasodás teljes szuvasodássá váljon.
Ez különösen fontos, amikor gyermeke fogászati egészségéről van szó.
Barázdazárás gyerekeknél
A gyermekek első maradó foga a 6-os fog, mely a tejfogak mögött tör elő 6 éves korban. A tejfogak ekkor még nem váltanak, az első maradó rágófog sokszor a szülők számára észrevétlenül jelenik meg a legutolsó tejfog mögött.
A második őrlőfogak 12 éves kor körül törnek át.

Ezeknek a fogaknak a barázdazárását fontos minél hamarabb elvégezni, lehetőleg a fogak áttörését követő 1 hónapon belül. Így már a kezdetektől fogva szuvasodásmentessé teheti őket, nem tudnak megtelepedni bennük a baktériumok.
A kutatások is bizonyítják, hogy barázdazárás egy rendkívül hatékony módja a preventív fogászatnak. Mint tudjuk, a fogszuvasodás fájdalmas, zavarhatja az alvást, az étkezést és más rendszeres tevékenységeket.
A megelőzés hosszú távon időt, pénzt, fájdalmat, és fogorvoshoz járást takarít meg.
A barázdazárás nem fájdalmas folyamat, ezért sem a gyermeknek, sem a szülőnek nem kell tartania attól, hogy a gyermek negatív tapasztalatokat szerezne a barázdazárás folyamán.
Hogyan történik a barázdazárás?
A barázdazárás egy gyors és 100%-ban fájdalommentes folyamat. A 4 db fog kezelése összesen 30-40 percet vesz igénybe a gyermek együttműködésének függvényében.
Menete a következő:
- A frissen előtört fogak felszínét megtisztítjuk, megszárítjuk, és nedvszívó pamutot teszünk a fog köré, hogy szárazon tartsuk.
- A fogak rágófelületére savas gélt helyezünk, mely érdesíti a fogfelszínt, így erős kötés alakul ki a foga és a sealant között.
- Néhány másodperc múlva leöblítjük a gélt, és ismét megszárítjuk a fogat.
- A sealantet felkenjük a fog barázdáira, ahol közvetlenül a foghoz kötődik és megkeményedik.
- Ezután egy speciális kék fényt használunk a sealant megkeményedésének elősegítésére.
Gyermekeknél van egy természetes aggódás a fogászatra jövetel előtt. Fontos, hogy pozitív szavakat használva bátorítsuk a gyermeket, kerüljük a “fájdalom” jellegű szavakat. Érdemes az időpontot megelőző napokban otthon “fogorvost játszani”, ahol a gyermek kivizsgálja kedven plüss állatait.
A barázdazárással nem jár fájdalom, így kellemes fogászati élmény is válhat belőle.

Minden kedvesség és előkészület ellenére is előfordulhat, hogy a gyermek a fogászati székbe kerülve megijed és a kedveskedő próbálkozások ellenére sem hajlandó engedni a kezelést.
Ilyen esetekben 15 perc után abba kell hagynunk a próbálkozást, és egy általános konzultáció díját számoljuk fel.
Vannak a barázdazárásnak mellékhatásai?
Sok éves munkánk során sem, illetve a kutatások sem mutattak ki káros mellékhatásokat.
Két dolgot azonban tudni kell:
- Rendelőnkben speciális BPA-mentes sealant anyagot használunk, ami valamivel drágább is, mint a hagyományos sealant, ami még BPA-t tartalmaz.
Sok más fogászaton még a régi anyagot használják, mellyel kis mennyiségű BPA kerül a szájba. A nyál BPA-szintje a BPA-nak való kitettségből adódóan három órával az eljárás után tetőzik, és 24 órán belül visszatér az alapszintre. - A fogon lévő extra sealant réteg miatt az ember harapása rendellenesnek tűnhet közvetlen a felhelyezés után. Ennek egy része pár nap után lekopik, de ha zavaró maradna, lehet rajta korrigálni.
Mennyi ideig védi a fogat a barázdazárás?
A barázdazárás hivatalosan 10 évig védi a fogat a fogszuvasodástól. Azonban nem ritka, hogy a sealant még 30 évvel késsőbb is a fogon van és védelmet nyújt a baktériumok és savak ellen.
A fogorvos rendszeresen ellenőrzi, szükség esetén pótolja vagy kiegészíti őket.
Barázdazárás árak
Budapesti fogászati rendelőnkben a barázdazárás ára 15.000,- Forint foganként.
Általános árjegyzékünket megtalálja itt.

